MICROGRAPH AWARDS COMPETITION
GLOBAL ANIMAL PRODUCTION AND VETERINARY INDUSTRY SUMMIT (GAVIS)
21 – 23 JULY 2026
Rules and Regulations:
- The competition is open to ALL participants of the Global Animal Production and Veterinary Industry Summit (GAVIS), 2026.
- Each participant may submit up to 2 images for judging.
- Photomicrographs must be taken using microscopes (all types of microscopes are allowable).
- Any type of specimen is acceptable. All microscopic techniques are acceptable. Images must be submitted in their original form. Editing or colour enhancement is not permitted.
- Images must be prepared in Microsoft PowerPoint slides and no personal information is allowed to be included in the picture.
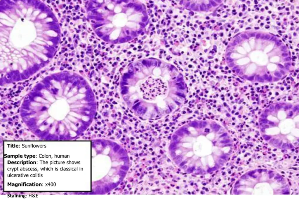
6. This information must be included in the slide image (bottom left):
- Title (e.g., Sunflowers).
- Sample type (e.g., Intestine, cat).
- Brief description (e.g., The enteritis lesions observed in Infectious Bowel Disease [IBD] patient).
- Magnification/Staining if applicable.
7. The entries must be submitted latest by 15th April 2026 to GAVIS website
8. All images will be exhibited during the conference and judging will be undertaken during the respected time.
9. Entries will be judged on:
- Originality
- Image quality
- Creativity
- Information content
10. Failure to accept all contest rules will disqualify the entry.
EXAMPLE ENTRY FOR THE BEST MICROGRAPH COMPETITION
